Le dolía el ojo y encontraron algo inesperado en su cabeza: los médicos no lo creían
La nena de 11 años fue trasladada de urgencia tras descubrir que tenía gusanos.
Una grave situación sanitaria conmocionó a la localidad de Santo Tomé, Corrientes, luego de que una nena de 11 años fuera trasladada de urgencia tras detectarse una infestación de larvas en su cabeza.
Todo comenzó cuando la menor manifestó un fuerte dolor cerca del ojo y, al revisarla, su mamá descubrió que tenía gusanos en el cuero cabelludo.
Alertada por la desesperación de la mujer, una ambulancia del Hospital Universitario San Juan Bautista acudió de inmediato y llevó a la niña para una primera atención.
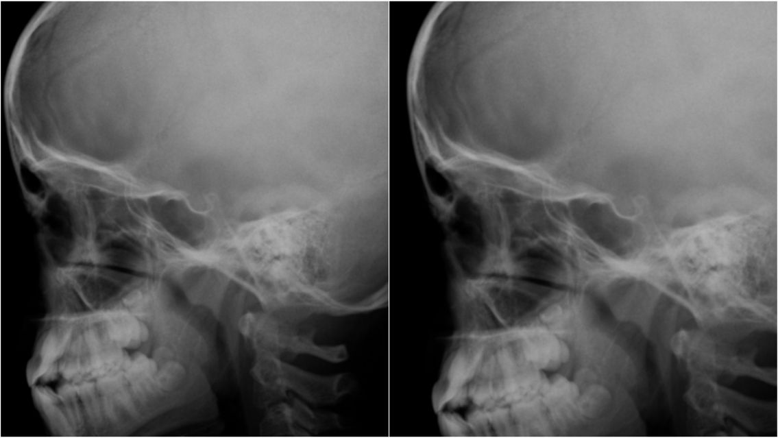
Sin embargo, al intentar limpiar la zona afectada, los profesionales se encontraron con un cuadro mucho más grave del esperado: la infección llevaba varias semanas avanzando y las larvas habían comenzado a destruir tejido blando e incluso perforado parte del hueso del cráneo.
Ante este diagnóstico crítico, la menor fue derivada al Hospital Pediátrico Juan Pablo II, en la capital correntina, donde permanece internada bajo supervisión médica especializada.
Según explicó el pediatra Flavio Serra, el caso corresponde a una miasis foruncular, una enfermedad provocada por moscas que depositan huevos en la piel. "Las larvas se desarrollan dentro del tejido y pueden generar lesiones profundas. En este caso ya había compromiso óseo", detalló el médico a El Litoral.
El episodio generó impacto entre quienes presenciaron la primera intervención: varios testigos aseguraron que quedaron "en shock" al ver el estado en que se encontraba la niña y por el evidente tiempo que la lesión llevaba evolucionando.
La Justicia intervino de oficio y abrió una causa contra la madre bajo la figura de lesiones graves por omisión. Los investigadores ahora buscan establecer cómo llegó la menor a semejante cuadro y si hubo negligencia o falta de cuidado prolongado.


Comentarios