Violencia extrema
Jujeño discutió con su hermano y uno terminó irreconocible en el hospital
El violento incidente tuvo lugar alrededor de las 2:30 de la madrugada en una finca de la ciudad de Santa Clara.
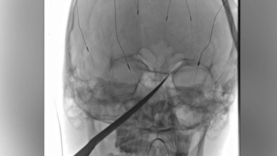
En la madrugada de ayer, en Santa Clara, un hombre de 46 años tuvo que ser hospitalizado después de que su hermano le clavara un cuchillo en la cara durante una discusión.
Según informes, dos hermanos mayores de edad estaban en el interior de la finca cuando comenzó una acalorada discusión. En medio del altercado, uno de los hermanos tomó un cuchillo sierrita y lo clavó en la cara de su hermano, muy cerca del ojo derecho.
El herido logró dirigirse a un destacamento policial cercano para relatar lo sucedido. El Servicio de Atención Médica de Emergencia (SAME) intervino rápidamente y trasladó al herido al Hospital Arturo Zabala de Perico, donde recibió atención médica, fue diagnosticado y sometido a estudios complementarios.


Comentarios